全氟化碳雾化吸入对大鼠海水吸入性肺损伤治疗作用研究

Therapeutic effect of perfluorocarbon aerosol inhalation on lung injury induced by seawater inhalation in rats

  • 摘要:
      背景  海水吸入性肺损伤是呼吸系统危重症,致死率高,目前缺乏有效治疗方法。全氟化碳(perfluorocarbon,PFC)是一种无色无味呈惰性的有机化合物,在多种急性肺损伤动物模型中表现出抗炎、抗氧化、减轻肺损伤等作用,目前无PFC雾化吸入对海水淹溺导致的急性肺损伤干预作用的研究。
      目的  本研究拟探讨PFC雾化吸入对海水吸入性肺损伤的治疗作用。
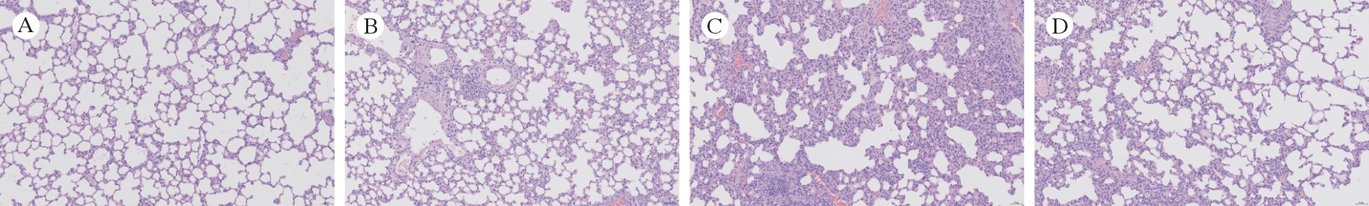
      方法  32只雄性SD大鼠随机分为4组,分别为0.9%氯化钠注射液组(N组)、全氟化碳雾化吸入组(P组)、海水吸入 + 0.9%氯化钠注射液吸入组(SW组)、海水吸入 + PFC雾化吸入组(SP组),每组8只。SW组和SP组在建立海水吸入性肺损伤模型后30 min,分别经气管给予0.9%氯化钠注射液(2 mL/kg)和PFC (2 mL/kg)雾化吸入。于建模后4 h取肺组织、外周血和肺泡灌洗液,检测组织病理学、炎症指标肿瘤坏死因子α(tumor necrosis factor-α,TNF-α)、白细胞介素(interleukin,IL)-1β、IL-6、氧化应激指标髓过氧化物酶(myeloperoxidase,MPO)、丙二醛(malondialdehyde,MDA)、超氧化物歧化酶(superoxide dismutase,SOD)、肺湿干比、肺泡灌洗液蛋白浓度,取右下肺做HE染色。另取16只雄性SD大鼠,分为4组,每组4只(各组处理方式同上),各组于处死前30 min经右侧股静脉注射2%伊文斯蓝染料(20 mg/kg),测定肺组织伊文斯蓝含量。
      结果  与N组相比,SW组肺损伤较重,肺损伤病理评分较高(P<0.05),血清及肺泡灌洗液TNF-α、IL-1β、IL-6、MDA、MPO、肺组织湿干比、肺泡灌洗液蛋白含量及肺组织伊文斯蓝水平显著升高(P<0.05),SOD含量降低(P<0.05)。海水吸入后给予PFC雾化吸入,可显著降低肺损伤病理评分、血清及肺泡灌洗液TNF-α、IL-1β含量、肺泡灌洗液IL-6、血清MDA、蛋白含量、湿干比、肺组织伊文斯蓝含量(P<0.05),SOD含量显著升高(P<0.05),而血清IL-6、MPO在SW组与SP组间无统计学差异。
      结论  全氟化碳雾化吸入可显著减轻大鼠海水吸入导致的肺损伤,其机制可能与改善肺内炎症反应、氧化应激和肺泡毛细血管通透性有关。

     

    Abstract:
      Background  Seawater inhalation lung injury is a critical respiratory condition with high mortality rate and a lack of effective treatment methods. Perfluorocarbon (PFC) is a colorless, odorless and inert organic compound, and current studies have found that PFC exhibits anti-inflammatory, antioxidant, and lung injury reducing effects in a variety of animal models of acute lung injury. However, there is no research on the intervention effects of PFC nebulized inhalation on seawater inhalation lung injury.
      Objective  To investigate the therapeutic effect of PFC aerosol inhalation on lung injury induced by seawater inhalation.
      Methods  Thirty-two male SD rats were randomly divided into normal saline group (N group), perfluorocarbon aerosol inhalation group (P group), seawater inhalation + normal saline group (SW group), seawater inhalation + PFC aerosol inhalation group (SP group), with 8 rats in each group. In the SW group and SP group, normal saline (2 mL/kg) and PFC (2 mL/kg) were inhaled through air tube at 30 minutes after the establishment of seawater inhalation lung injury model. Lung tissue, peripheral blood, and alveolar lavage fluid were taken at 4 hours after modeling to detect histopathology and inflammatory index (TNF-α, IL-1β, IL-6), oxidative stress indicators (MPO, MDA, SOD), lung wet to dry ratio, alveolar lavage fluid protein concentration, and the right lower lung was taken for HE staining. Another 16 male SD rats were also divided into 4 groups (with 4 rats in each group as above). Each group was injected with 2% Evans blue dye (20 mg/kg) through the right femoral vein at 30 minutes before execution to determine the content of Evans blue in lung tissue.
      Results  Compared with N group, the lung injury in the SW group was more serious, the pathological score of lung injury was higher (P<0.05), and TNF-α, IL-1β, IL-6, MDA, MPO in serum and BALF, the wet dry ratio of lung tissue, the protein content of alveolar lavage fluid and Evans blue level of lung tissue increased significantly (P<0.05), while SOD content decreased (P<0.05). PFC aerosol inhalation after seawater inhalation could significantly reduce the pathological score of lung injury, TNF-α, IL-1β in serum and BALF, IL-6 in BALF, MDA in serum, protein content in BALF, wet to dry ratio and Evans blue content in lung tissue (P<0.05), while SOD content was significantly increased (P<0.05). The IL-6 and MPO in serum were not significantly different between SW group and SP group.
      Conclusion  Perfluorocarbon aerosol inhalation can significantly alleviate lung injury induced by seawater inhalation, and its mechanism may be related to the improvement of pulmonary inflammation, oxidative stress, and alveolar capillary permeability.

     

/

返回文章
返回